近日,宜宾市第五人民医院江南分院多学科团队紧密协作,成功抢救一名急性前壁心肌梗死患者,在这场与死神的赛跑中赢得了最终胜利,充分彰显了医院高超的救治能力和应急水平。
突发胸痛,迅速识别危情
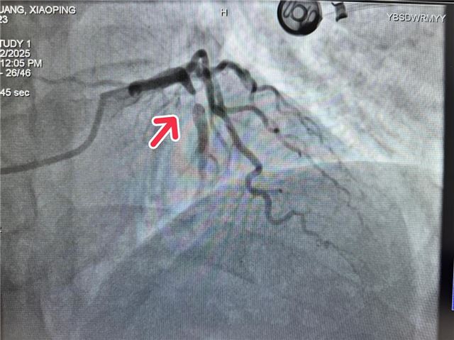
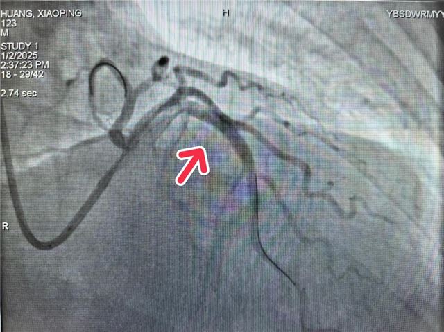
51岁的韩先生突发胸闷胸痛,到该院江南分院就诊。刚下电梯,护士长刘孟发现病人面色苍白、大汗淋漓,痛苦不堪,当即意识到病情紧急。当班医生曹怡鸿迅速完成心电图检查,康莉主任第一时间判读结果——“前壁多导联弓背向上抬高”,是典型的急性心肌梗死信号!此类病人死亡率高达70%,病情就是命令!医疗团队立即启动胸痛中心急救流程,一边现场施救,一边将心电图上传至胸痛急救群,并紧急联系介入室胡前坤主任与急诊科,协调多科联动,为患者争取每一秒宝贵的抢救时间。
室颤突发,多学科协作抢救生命
介入室胡前坤主任接到消息后远程指导给予急救药物和抗凝治疗,并提醒警惕恶性心律失常。话音刚落,患者突发抽搐、意识丧失,陷入昏迷状态,监护仪警报响起:室颤!这是心梗最危险的并发症,心跳骤停随时可能发生。介入室、急诊科、老年病科医护人员立即联合施救——心肺复苏、200J电除颤……紧张有序的急救之后,患者意识恢复,初步抢救成功!随后,团队迅速为患者施行急诊介入手术,成功开通闭塞血管,恢复血流,将患者从死亡边缘拉回。


实力守护,筑牢健康防线
此次抢救成功,得益于医院胸痛中心和三级甲等医院创建持续推进所积累的多学科协作能力和应急救治水平。从快速诊断、高效联动到精准手术,宜宾市第五人民医院始终以扎实的专业能力和高度的责任感,为区域百姓健康保驾护航!
【温馨提示】
急性心梗起病急、危害大,一旦出现胸痛、胸闷等症状,请立即拨打120或迅速就医,争取黄金救治时间!