2025年03月19日 山西


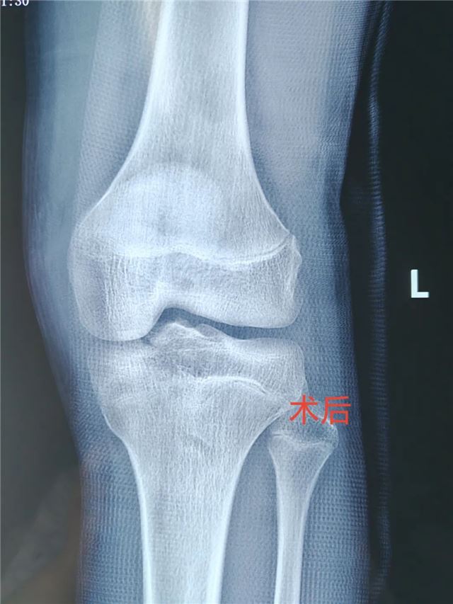
近日 长治二院小儿骨科团队 成功完成首例 关节镜下胫骨髁间棘骨折复位固定手术 标志着 长治二院小儿骨科 在青少年运动损伤及关节 微创治疗领域又上新台阶! 术前 术中 该手术通过仅0.5cm的微小切口,结合高清关节镜技术,实现骨折精准复位与牢固固定,术后患者无疼痛、恢复快,早期可下地活动,为青少年患者提供了更优治疗方案。 技术亮点 创伤极小:避免传统开放手术的大切口,减少软组织损伤。 精准高效:关节镜高清视野助力精准复位,固定牢靠。 康复迅速:术后早期功能锻炼,缩短住院时间,降低并发症风险。 美观无忧:微创切口隐蔽,术后疤痕几乎不可见。 适应人群 运动损伤致胫骨髁间棘骨折患者。 膝关节外伤后疼痛、活动受限者。 追求微创、快速康复的青少年患者。 咨询电话: 主任医师任泽恩:13008078999 周一、周五、周六上午专家门诊 主治医师牛佳伟 18834181790 周日上午节假日门诊 科普园地 01 胫骨髁间棘骨折是什么? 胫骨髁间棘是膝关节内交叉韧带附着的重要结构,骨折多由运动损伤(如急停、扭转)或高能量外伤(如车祸)导致,表现为膝关节剧痛、肿胀、无法伸直,易误诊为韧带损伤。 02 传统手术 vs 关节镜微创手术 传统开放手术:需切开关节囊,创伤大、恢复慢,可能遗留关节僵硬。 关节镜手术:通过2-3个5mm小孔完成,镜下精准复位骨折块,配合可吸收螺钉或缝线固定,最大程度保护关节功能,术后可早期开始康复锻炼。 03 术后康复小贴士 早期冰敷+踝泵训练,减轻肿胀 术后2周内拄拐部分负重,逐步过渡到全负重 4-6周后结合理疗加强膝关节活动度与肌力 微创技术,让运动之痛不再成为人生绊脚石!长治二院小儿骨科将持续深耕关节微创领域,以尖端技术守护儿童“膝”望! 名医推荐 任泽恩 主任医师、教授 骨科党支部书记 小儿骨科病区主任 硕士研究生导师 牛佳伟 主治医师 骨科学硕士 【专业特长】 儿童创伤保守和手术的微创治疗。四肢畸形矫正(先天性或创造成的肢体内外翻、肢体不等长等)。手足部多指/趾畸形、并指/趾畸形等。曾于北京参加“骨外固定与肢体重建基础实战技术培训班”。 科室简介 小儿骨科于2019年创立,现病床配置18张,科室现有主任医师1名,副主任医师1名,主治医师1名,住院医师1名,其中硕士研究生2名,硕士研究生导师1名,目前是长治地区唯一专业诊治儿童骨骼疾病的专业科室,年门诊量5000余人次,年手术近500例。 科室成立5年来,我们小儿骨科团队同心协力,追求卓越,推动学科快速发展。我们小儿骨科开展的多项手术技术处于省内领先地位,辐射影响达周边地市,在上党地区享有盛誉,得到了国内、省内业内同行及患者家属的高度认可。目前以京长合作为契机积极与北京积水潭医院小儿骨科紧密合作,成立了“吕学敏教授团队名医工作室”,定期派专家来我院坐诊、讲学、查房,开展新技术新项目、疑难病例会诊及手术指导。大大提高了诊疗疑难疾病的能力。 诊疗范围:14周岁以下的儿童骨病患者(含14周岁)。目前已经开展的技术项目:小儿四肢关节创伤微创手术治疗、部分小儿先天性及发育性畸形矫正、四肢与关节特异性及非特异性炎症、儿童各类软组织疾患及骨肿瘤。(肱骨髁上骨折闭合复位经皮克氏针内固定、儿童四肢骨干骨折弹性髓内针内固定、青少年股骨干骨折交锁髓内钉内固定、肘关节关节内骨折手术治疗、手足多指(趾)畸形切除及矫形术)。 编 辑丨翟艳鹏 初审初校丨牛佳伟 复审复校丨任泽恩 终审终校丨雷 赫
































■跟骨骨折别害怕,微创治疗来帮忙!
■突破!!!长治二院风湿免疫科承接“国自然”项目
■感谢您,让我母亲又能正常行走!
■以专业赋能护理 以匠心守护健康——山西省护理学会第四期骨科专科护士培训班长治二院临床实践基地教学圆满完成
